Diş teli yani ortodonti tedavisi; dişlerdeki konum bozukluklarının, dişlerin üzerine özel ilaçlarla yapıştırılan diş telleri ile düzeltildiği bir tedavidir. Dişlerin üzerine yapıştırılan diş telleri gıda retansiyon alanları oluşturur. Bu sebeple hem diş çürüğü hem diş eti hastalığı hem de ağız kokusu oluşmaması için ortodonti tedavisi sırasında diş fırçalama titizlikle yapılmalıdır. Neden Dişler Fırçalanmalıdır? Dişlerin üzerine yapıştırılan ve kare olan kuvvet …
Diş teli yani ortodonti tedavisi; dişlerdeki konum bozukluklarının, dişlerin üzerine özel ilaçlarla yapıştırılan diş telleri ile düzeltildiği bir tedavidir. Dişlerin üzerine yapıştırılan diş telleri gıda retansiyon alanları oluşturur. Bu sebeple hem diş çürüğü hem diş eti hastalığı hem de ağız kokusu oluşmaması için ortodonti tedavisi sırasında diş fırçalama titizlikle yapılmalıdır.
Neden Dişler Fırçalanmalıdır?
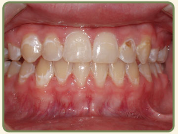
Dişlerin üzerine yapıştırılan ve kare olan kuvvet aktarıcılarının ismi “braket”tir. Özellikle yiyecek artıkları bu braketlerin etrafında toplanır. Braketler dişe tamamen yapışık olduğu için altlarındaki diş dokusunun dış ortamla herhangi bir ilişkisi yoktur. Bu sebeple braketlerin altları çürümez. Çürüme braketlerin dişe yapışma sınırında başlar. Başlangıçta beyaz lekeler şeklinde oluşurken, ilerleyen zamanda kavitasyon oluşup kahverengine doğru dönerler. Ağız sağlığını düzeltmek ve ağız hijyenini iyileştirmek maksadıyla yapılan ortodonti tedavisi dişleri iyi fırçalanmadığında dişlerde çürük oluşmasına sebeptir. Ve amacından sapan bir tedavi haline dönüşür. Bu sebeple her ortodonti hastasının bunları bilerek diş teli tedavisine başlaması gerekir. Dişler ortodonti tedavisiyle düzgün bir görünüme kavuşurken, çürümesi hem sizin hem de doktorunuzun moralini bozacaktır. Aşağıdaki resimde ortodonti tedavisi sırasında fırçalama yetersizliğinden kaynaklanan diş çürüklerini görüyorsunuz.
Bu sebeple ortodonti tedavisinin öncesinde ilerleme ihtimali olan küçük çürüklerde dahil olmak üzere bütün çürük dişlerin dolgusu yapılmalı, diş taşları temizlenmeli ve ağız hijyeni iyileştirilmelidir. Dişler pırıl pırıl hale getirilmelidir. Daha sonra diş teli taktırdığınızın klinikte diş teli tedavisi boyunca dişlerinizi nasıl fırçalamanız gerektiği ile ilgili eğitim verilmelidir. Bu eğitim ile tedavi boyunca dişlerinizi etkili bir şekilde fırçalamalısınız.
Diş fırçalama ortodonti tedavisi boyunca dişlerde çürük oluşumunu engellerken aynı zamanda da tedavi süresini kısaltır. Çünkü fırçalamanın yetersiz olduğu ağızlarda braketler ve ark telleri üzerinde oluşan diş taşları ve tartarlar diş tellerinizin üzerinde gereksiz sürtünme kuvveti oluşturur. Bu durumda dişlerin daha yavaş hareket etmesine sebep olur.
Diş Teli Tedavisinde Temizlik
Ortodonti tedavisinde diş tellerinin arasına girerek her yerin düzgün bir şekilde fırçalanabilmesi için üretilen özel diş fırçaları vardır. Bunlar ortodontik diş fırçası ve diş arası fırçasıdır.
Ortodontik diş fırçasının üzerinde dil tellerinin oturacağı bir boşluk bulunur. Kullanımı normal fırçalar gibi olup dairesel hareketlerle dişler fırçalanır. Aşağıdaki videoda ortodontik fırçanızın nasıl kullanılması gerektiğini izleyebilirsiniz.
Diş arası fırçası ise boy boydur. Dişlerinizin aralarına uygun olacak boy ve kalınlıkta olanı doktorunuz size tavsiye edecektir. Diş arası fırçasının kullanımından maksat dişlerinizin üzerine yapıştırılan braketlerin aralarını fırçalamaktır. Aşağıdaki videoda diş arası fırçasının nasıl kullanılacağını izleyebilirsiniz.
Ortodonti Tedavisi Sırasında Elektrikli Fırça Kullanılabilir Mi?
Ortodontik fırçanın yerine elektrikli diş fırçası kullanabilirsiniz.
Diş Arası Fırçası Kullanımı
Diş arası fırçasını kullanmadan yaptığınız fırçalama hiçbir zaman tam anlamıyla amacına ulaşmaz. Ve istenilen ağız hijyenini sağlayamazsınız. Dişlerinizi günde 3 kere ortodontik fırçayla 3 kerede diş arası fırçanızla fırçalamak, günde 20 kere ortodontik fırça ile fırçalayarak yapacağınız temizlikten daha etkilidir.
Diş teli tedavisinde diş teli fiyatları ve diş teli fiyatları 2025 yılı değerlendirme süreçlerini detaylı incelemek için Alpdent ile iletişime geçebilirsiniz.









