Ortodonti dişlerdeki konum bozukluğunu, çapraşıklığı, ayrıklığı düzelten bir tedavidir. Yapılan müdahale şekillerine göre de ortodonti yani diş teli fiyatlarıfarklılık göstermektedir.

Ortodontik tedaviden sonra dişlerinizde belirgin bir fark olacaktır. Ama düzelen dişleri bozulmadan tutmakta en az ortodonti tedavisi kadar önemlidir. Çünkü ortodonti tedavisi zor bir süreçtir, vakit ayırmanız gerekir, zaman zaman dişlerinizde ağrılar oluşur ve maliyettir. Bu kadar zahmetin altına girip dişlerinizi düzelttirdikten sonra tekrar bozulması canınızı çok sıkacaktır.

Ortodonti tedavisinden sonra dişlerinizin bozulmaması için hem tedavi sırasında hemde tedavi sonrasında alınabilecek önlemler vardır. Diş teli kullanırken ağız ve diş bakımı süreçlerinedikkat etmeniz gerekmektedir. Şimdi bu önlemlerden bazılarını anlatalım;

1) Acele etmeyin.

Ortodonti tedavisi kısık ateşte pişen yemek gibidir. Ne kadar yavaş ilerlerse o kadar kalıcı olur. Bu sebeple tedavi sırasında aceleci olmayın. Tedavi süresini doktorunuza bırakın. Doktorunuz sizin için en doğru zamanda tedavinizi bitirecektir.

2)Dişlerin açıları

Her dişin optimum yani en ideal yeri ve açısı vardır. Ortodonti tedavisi bu değerlerde bitirilmelidir. Örneğin alt ve üst kesici dişlerinin uzun akslarının oluşturduğu ideal açı değeri 131 derecedir. Bu açı değeri 180 yaklaştıkça dişleriniz dikleşirken ve yüzünüzdeki görünürlüğü azalırken, 90 dereceye yaklaştıkça dişlek bir görüntü oluşur ve tedaviden sonra bozulma ihtimali artar. Bu tip tedaviler daimi retansiyon gerektirir. Yani dişlerinizin bozulmaması için devamlı bir şeyler kullanmanız gerekir.

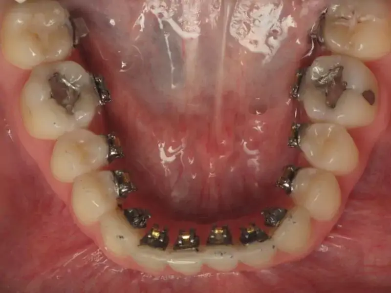
3)Dişlerinizin komşu dişlerle ilişkisi

Dişlerinizin birbirleri ile uyumu tedavinizin kalıcılığı açısından çok önemlidir. Dişlerinizin komşu dişlerle birbirlerine değmesi gereken temas noktaları vardır. Bu noktalara kontakt noktası denir. Dişlerin kontakt ideal sıralı dişlerde olduğu gibi oluşturulmalıdır. Hatta kesici dişlerinizdeki noktasal kontakt noktaları hafif aşındırmalarla yüzeyel hale getirildiğinde bozulma ihtimali daha da azalacaktır. Çünkü yüzeyel kontakt noktalarında sürtünme kuvveti daha fazladır.

4) Alt ve üst dişlerinizin birbirleri ile ilişkisi

Alt ve üst dişlerinizin birbirleri ile ilişkisi kalıcı bir tedavi için olmazsa olmazdır. Tedavi, bu ilişki sağlanmadan bitirildiğinde telleriniz çıkarıldığı günden itibaren hızlı bir şekilde bozulma başlar. Retansiyon dahi dişlerinizi yerinde tutmak için yetersizdir.

Alt ve üst dişleriniz birbirleriyle anahtar kilit gibi uyumlu olmalıdır. Bu uyum dişlerinizin bozulma sebebini ortadan kaldırdığı gibi dişlerinizin bozulmasına dahi engel olur. Alt ve üst dişlerinizin uyumu tedavi kalitenizi belirleyen en önemli ölçektir. Bu uyum ortodontik elastikler kullanılarak sağlanır. Ortodontik elastikler siz tarafı dan takılıp çıkartılan ve doktorunuzun söylediği süreler boyunca kullanmanız gereken parçalardır.

Diş Hekimi Emre Aldoğan

İstanbul’da ortodonti ve diş teli tedavileri konusunda deneyimli ekibimizle yanınızdayız.